COMPOSITE BONDING COURSE
WITH DR. AFFAN
Most delegates will book this course combined with our 1-day Rubber Dam Course

1 DAY COURSE
100% HANDS ON
Course Dates and Costings: Click Here

Speaker: Affan Saghir
Dr Affan is the co-founder of Space Dental and a leading provider of Composite Bonding in the UK. He has been awarded Young Dentist of the Year and has a following of over 70k followers on Instagram. He works as Cosmetic Lead and Owner of Space Dental – Cosmetic Dental Practice in Yorkshire, England – Space Dental. He is keen to raise inspire and raise awareness of a minimal invasive smile makeovers. He completes thousands of smile makeovers annually all with the vision of minimal invasive dentistry using tooth alignment where needed, whitening, and contouring the smile with direct / indirect restorations. He is a leading Composite direct restoration course providers having lectured in USA (Las Vegas / Miami), Asia (Japan, China, Hong Kong) and over Europe alongside his routine lecturing in England, UK.
Theory and Lecture
Sent prior to the course
to watch
100% Hands On
%20(1).png)
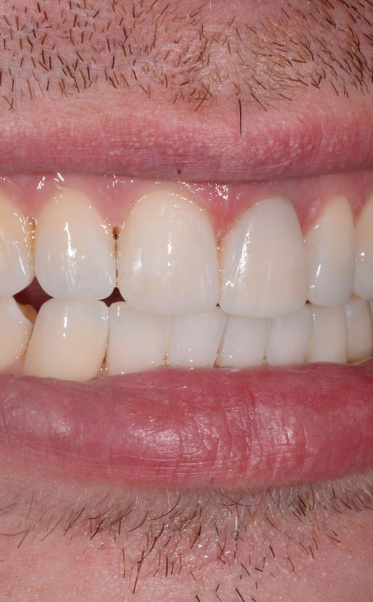
Day-to-Day bonding
Dr Affan shows how he treats his cases with one or two shades.
No layering techniques used
Edge Bonding cases

Practicals
Two techniques:
1) Using wax ups
2) Direct, without wax ups
Anatomy, Finishing, Polishing & Maintenance
%20(2).png)
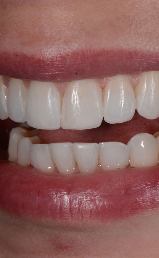
LIVE patient
Treated at the course
by Dr Affan
Learn step by step protocols, materials and equipment he uses on his cases
%20(3).png)
COURSE GALLERY






























































































































TESTIMONIALS





Upcoming Courses
TERMS AND CONDITIONS
-
All bookings are taken on a first come first serve basis
-
The booking fees are non-refundable and non-transferable














