top of page
ALUMNI OUTCOMES
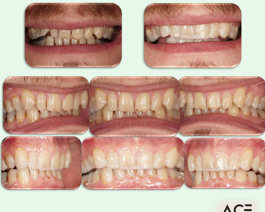
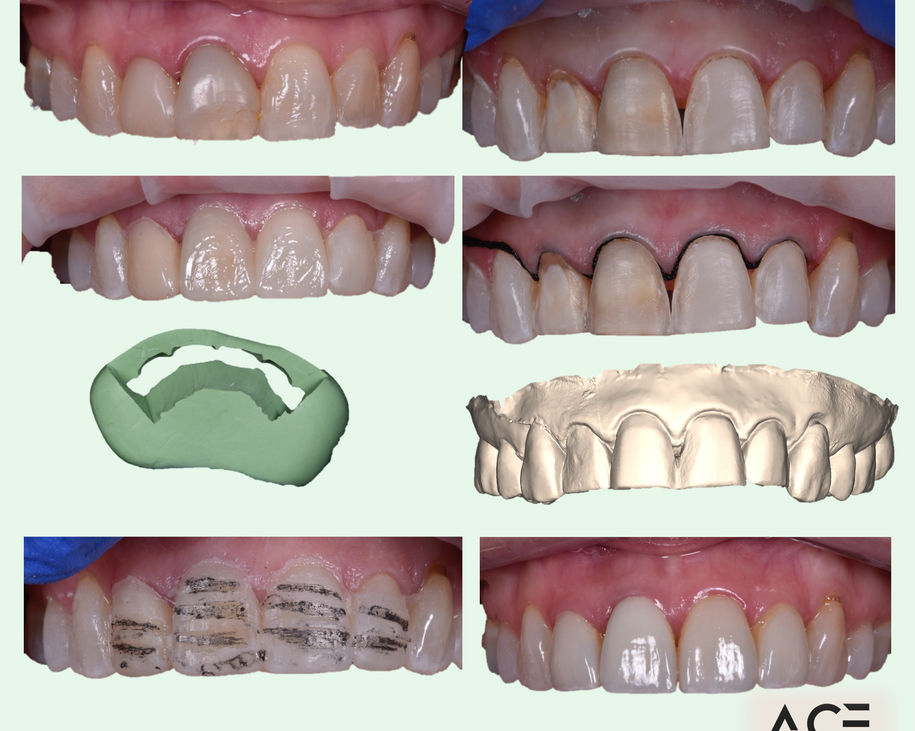
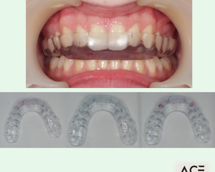
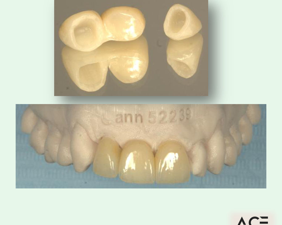
Alumni Outcomes showcasing below snippets of cases submitted as part diploma submissions
-
Dentists transitioning from routine dentistry into advanced restorative cases
-
Improved treatment planning confidence
-
Predictable clinical outcomes through structured protocols
bottom of page














































































































































































































































































